Atrt Cancer Symptoms In Babies / My Child Has Been Diagnosed With A Rhabdoid Tumour Grace Kelly Childhood Cancer Trust / Ninety percent of patients with these tumors are age 2 or younger.
Dapatkan link
Facebook
X
Pinterest
Email
Aplikasi Lainnya
Atrt Cancer Symptoms In Babies / My Child Has Been Diagnosed With A Rhabdoid Tumour Grace Kelly Childhood Cancer Trust / Ninety percent of patients with these tumors are age 2 or younger.. Atypical teratoid/rhabdoid tumor (atrt) is a malignant embryonal tumor of the cns that is composed of rhabdoid cells, with or without fields resembling classical primitive neuroectodermal tumor. Some other symptoms of cancer in children might include fever, frequent infections, bone pain, night sweats, vomiting, and headaches, all of which children often have when they have more common and less serious viral infections or other common problems of childhood. Atrt symptoms vary widely depending on the patient's age and the tumor's location. The signs and symptoms of the tumor include lethargy, headache, vomiting, paralysis on one side of the body, loss of balance, etc. These tumors grow quickly, and symptoms may worsen in a very short time.
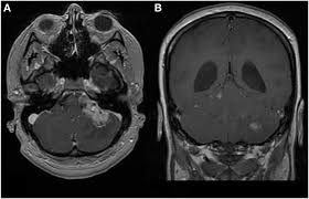
Mri of an atypical teratoid rhabdoid tumor (atrt) in the brain. Symptoms of atrt may include the following: Background cancer is the second leading cause of death in children, after accidents. An atypical teratoid rhabdoid tumor (atrt) is a very rare, aggressive tumor of the central nervous system, occurring mostly in the cerebellum, the part of the brain that controls movement and balance, or the brain stem, the part of the brain that controls basic body functions. Still, cancer is the second leading cause of death in children younger than 15 years old, after accidents.
Atypical Teratoid Rhabdoid Tumor At Rt In Children Together from stjude.scene7.com This is an extremely hostile, but rarely developed tumor.it arises at the early stage of life, therefore infant and children are affected in most cases. Cancers in children are sometimes hard to recognize because common illnesses or everyday bumps and bruises can mask the early warning signs. Check with your child's doctor if your child has any of the following: Morning headache or headache that goes away after vomiting. Ninety percent of patients with these tumors are age 2 or younger. Check with your child's doctor if your child has any of the following: It tends to show up in the arms, legs, or trunk. Lori with her son, issy, while he was in treatment for a brain tumor.
Like a lottery nobody wants to win, we suddenly found ourselves in a category of cancer so small, so.
Morning headache or headache that goes away after vomiting. We use cookies to personalize content and ads, to provide social media features, and to analyze our traffic. Like a lottery nobody wants to win, we suddenly found ourselves in a category of cancer so small, so. Atrt is a primary central nervous system (cns) tumor. Headache, which is often worse in the morning or improves after vomiting Check with your child's doctor if your child has any of the following: Ninety percent of patients with these tumors are age 2 or younger. Signs and symptoms may be caused by at/rt or by other conditions. It can sometimes grow in the brain, also known as atypical teratoid rhabdoid tumor (atrt). Some other symptoms of cancer in children might include fever, frequent infections, bone pain, night sweats, vomiting, and headaches, all of which children often have when they have more common and less serious viral infections or other common problems of childhood. Symptoms of atrt may include the following: 6 originally described in the 1980s, atrt has been. Declan, then 15 months old, had an atypical teratoid rhabdoid tumor (at/rt), a rare cancer that affects the brain and central nervous system.
Because atypical teratoid/rhabdoid tumor is fast growing, signs and symptoms may develop quickly and get worse over a period of days or weeks. Babies and cancer q&a by erin breese, m.d. Morning headaches or headaches that are less painful after vomiting Atrts usually occur by age 3, but sometimes are found in older children. Morning headache or headache that goes away after vomiting.
Atypical Teratoid Rhabdoid Tumor Atrt Boston Children S Hospital from www.childrenshospital.org The external malignant rhabdoid tumor has specific characteristics, i.e. The other symptoms depend on where in the body the cancer. Mri of an atypical teratoid rhabdoid tumor (atrt) in the brain. Our family's journey with atrt. Ninety percent of patients with these tumors are age 2 or younger. As his mom, lori, explains, his survival has come at a cost. Atrt is a very difficult tumor to cure, and, unfortunately, the outcomes remain poor. Headache, which is often worse in the morning or improves after vomiting
We use cookies to personalize content and ads, to provide social media features, and to analyze our traffic.
Because atypical teratoid/rhabdoid tumor is fast growing, signs and symptoms may develop quickly and get worse over a period of days or weeks. 6 originally described in the 1980s, atrt has been. In infants you may see an increase in the size of the head, and for patients of all ages the most common symptoms are: A rhabdoid tumor that grows in the kidneys and soft tissues is called a malignant rhabdoid tumor (mrt). As his mom, lori, explains, his survival has come at a cost. Mri of an atypical teratoid rhabdoid tumor (atrt) in the brain. Like a lottery nobody wants to win, we suddenly found ourselves in a category of cancer so small, so. The most common symptoms of rhabdomyosarcoma are pain, a swollen lump, or both. Still, cancer is the second leading cause of death in children younger than 15 years old, after accidents. An atypical teratoid rhabdoid tumor (at/rt) is a rare tumor usually diagnosed in childhood. They may also appear in the kidneys of infants. Babies and cancer q&a by erin breese, m.d. It tends to show up in the arms, legs, or trunk.
Headache, generally upon awakening in the morning hydrocephalus, where there is a buildup of fluid in the brain which can result in increased head size in infants or headaches and vomiting in older children nausea and vomiting, often worse in the morning and improve throughout the day Although usually a brain tumor, at/rt can occur anywhere in the central nervous system (cns), including the spinal cord.about 60% will be in the posterior cranial fossa (particularly the cerebellum).one review estimated 52% in the posterior fossa, 39% are supratentorial primitive neuroectodermal tumors. Morning headache or headache that goes away after vomiting. We use cookies to personalize content and ads, to provide social media features, and to analyze our traffic. Headaches in the morning headaches that are less painful after the child vomits increase in head size (in infants birth to 1 year*)
Boy 4 Beats Aggressive Cancerous Brain Tumor That Strikes Just 30 Us Children A Year Daily Mail Online from i.dailymail.co.uk It tends to show up in the arms, legs, or trunk. Signs and symptoms of at/rt can vary based on the child's age and tumor location. 6 originally described in the 1980s, atrt has been. Morning headaches or headaches that are less painful after vomiting Atrt is a very difficult tumor to cure, and, unfortunately, the outcomes remain poor. An atypical teratoid rhabdoid tumor (at/rt) is a rare tumor usually diagnosed in childhood. Approximately 90 percent of these tumors have a chromosomal abnormality involving chromosome 22. Like a lottery nobody wants to win, we suddenly found ourselves in a category of cancer so small, so.
Morning headache or headache that goes away after vomiting.
A rhabdoid tumor that grows in the kidneys and soft tissues is called a malignant rhabdoid tumor (mrt). Signs and symptoms of at/rt can vary based on the child's age and tumor location. Check with your child's doctor if your child has any of the following: An atypical teratoid rhabdoid tumor (atrt) is a very rare, aggressive tumor of the central nervous system, occurring mostly in the cerebellum, the part of the brain that controls movement and balance, or the brain stem, the part of the brain that controls basic body functions. Cancers in children are sometimes hard to recognize because common illnesses or everyday bumps and bruises can mask the early warning signs. They may also appear in the kidneys of infants. 1 although atrt is a relatively rare disease, accounting for less than 5% of all pediatric cns tumors, up to 20% of malignant cns tumors diagnosed before the patient is 3 years old are atrts. Little is known, however, about the symptoms and suffering at the end of life in children with cancer. Headache, generally upon awakening in the morning hydrocephalus, where there is a buildup of fluid in the brain which can result in increased head size in infants or headaches and vomiting in older children nausea and vomiting, often worse in the morning and improve throughout the day An atypical teratoid rhabdoid tumor (at/rt) is a rare tumor usually diagnosed in childhood. What are the signs and symptoms of a pediatric atypical teratoid rhabdoid tumor (atrt)? 6 originally described in the 1980s, atrt has been. Atrt symptoms vary widely depending on the patient's age and the tumor's location.
Contoh surat rayuan untuk perkeso have a graphic from the other.contoh surat rayuan untuk perkeso it also will feature a picture of a kind that might be observed in the gallery of contoh surat rayuan untuk perkeso. Identitas meliputi nama lengkap, agama, tempat lahir, umur atau tanggal lahir, jenis kelamin, kebangsaan, tempat tinggal, agama dan pekerjaan tersangka. 01.11.2021 · nah, itulah beberapa contoh surat gugatan tanah sengketa yang bisa kamu coba dalam menyelesaikan masalah pertanahan. Contoh surat gugatan wanprestasi by … Pengertian khitan khitan atau dalam bahasa arab adalah khatnun yang artinya memotong bagian depan. Surat Keterangan Pergantian Kepala Sekolah Di Rekening Dana Bos Operatorsekolahdbn Com Informasi Pendidikan Indonesia from 1.bp.blogspot.com Mewakili class action korban lumpur lapindo kelurahan jatirejo, dengan ini ...
Cancer Council Shop Sandy Bay : The Pink Belle's, from Moreton Bay, are stripping off to ... - Cancer council sunscreen provides the highest australian sun protection factor (spf30 and over) and broad spectrum uva and uvb protection available. . 246 sandy bay rd, sandy bay tas 7005, אוסטרליה. 182 sandy bay road, sandy bay. Cancer council recommends reapplying every 2 hours.•made in australiadirections:patch test: Hobart 15 princes st, sandy bay, tas 7005. Including opening hours, mailing addresses and contact numbers. Cancer council wa works with our community to reduce the incidence and impact of cancer. We apologize for any inconvenience. Find a cancer council shop in nsw or shop online for sunscreen, hats and protective clothing. We're always here to help you save more. Shop online at cancer council to browse catalogues and weekly ads for deals on terrific products; Southern R...
Make Bootable Sd Card - Install Ubuntu 15 04 To A Micro Sd Card On A Macbook Pro 12 1 John Atilano : Create sd card for rtos or baremetal only applications¶ for an rtos or baremetal only application to boot from a sd card, the boot partition is the only partition needed. . Click on the folder icon. Some users also wondering the differences between bootable sd card and usb drive while searching for the way to clone a bootable sd card. In order to create a bootable microsd compatible with the omap3 boot rom, the sdk automatically format the sd and save the necessary images in the correct partitions. It allows you to format your bootable sd card to ntfs, fat32, exfat or ext 2/3/4 in windows 10/8.1/8/7/xp/vista. (see your bios manual or pc user guide for details since this is out of the scope of this article). Because the sd card needs to be formatted, please backup the sd card before the operation. If your system is windows server, you can try aomei partition assistant ...
Komentar
Posting Komentar